診療内容
インプラントとは、体内に埋め込む医療機器や材料の総称で、⻭がなくなった場合に、顎骨に埋め込む人工⻭根もインプラントの一つです。事故や⻭槽膿漏、虫⻭などで⻭を失った方や、先天的に⻭がない方など、⻭がない部位の顎の骨にインプラントを埋め、その部位に⻭を付ける治療法をインプラント治療と言います。インプラント治療は、1本の⻭がなくなった場合から全部の⻭がなくなった場合まで適用できる治療方法です。
インプラント治療を成功に導くには、術者の技術的な問題と患者様側のメンテナンス両方を解決する必要があります。技術に関しては、エビデンスが確立された方法で、安全にまた、最新の情報をもとに施行できるよう日々努力をしています。
インプラント治療は、無菌状態の骨の中に滅菌されたチタン製のインプラント体を埋め込む手術から開始します。当然ながら術者含め、清潔下の環境で行わなければなりません。

切開、剥離、縫合など、インプラント手術は純然たる「口腔外科的」手技です。骨移植、上顎洞挙上術などの手術も合わせて施行する症例も少なくありません。また、手術による偶発症、合併症を回避するため解剖学的な知識を有することは必須です。
歯を失った患者様は相対的に有病者である可能性が高いです。その病態を詳細に把握することは、手術結果やインプラント埋入後の予後を決めるといっても過言ではありません。

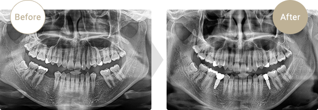
症例.01

下顎左右5番先天欠損部にインプラントを埋入しました。
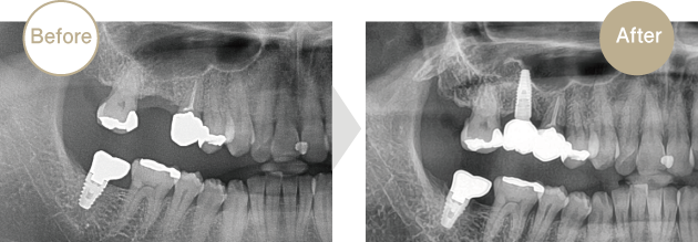
症例.02

上顎大臼歯部に骨が少ないため、上顎洞の骨造成を行いインプラントを埋入しました。