診療内容
口腔扁平苔癬は、口腔粘膜に生じる難治性の慢性炎症性疾患の一つで、口腔粘膜に角化異常を伴う炎症性病変です。頬粘膜は扁平苔癬が最もよくできる部位で、中高年層の女性に多くみられます。症状は、口腔粘膜に光沢のある乳白色の線状のものがレース状に配列し、その周囲粘膜が赤みを帯びていて、びらんを伴うことが多く、まれに水疱を形成することもあります。びらんや潰瘍(かいよう)が形成されると、入れ⻭などの接触や辛い食品などに刺激されることによる痛みがあります。経過は慢性で、非常に⻑いのが特徴です。
原因
原因は不明とされていますが、外傷性やウイルス性、金属アレルギー、口内の汚れ、ストレスなどが原因となり、症状を悪化させることが多いようです。また、症状を促進させる要因としては、喫煙など口腔内刺激などが関与するといわれています。
治療法
疼痛など、炎症を伴っている場合はまずステロイド軟膏等で消炎を図り、金属アレルギーが疑われる場合は、金属の除去、誘因と考えられる虫歯処置や、歯周病の治療。また、組織検査を行うこともあります。
白板症とは口腔粘膜や舌、歯肉にみられる白色の病変で、他の病変が除外された場合に用います。好発年齢は40歳以降の男性で、白板症は「前癌病変」の一つであったが、現在は「口腔潜在的悪性疾患」という概念に含まれています。
原因
歯ブラシによる摩擦、歯冠修復物との接触、不適切な義歯、咬傷など慢性的な機械的刺激が原因の可能性が高いです。
治療法
原因がはっきりしている場合はその除去。病変に関しては、生検、病理組織検査後、切除もしくは経過観察となります。
口の中やその周辺の粘膜におこる炎症の総称を「口内炎」といい、主に頬の内側をはじめとする広い範囲に発生する炎症で、多くが痛みを伴います。口内炎と一言で言っても、痛みや腫れの程度、ただれや出血の有無など、軽度な症状から重度な症状まで様々に異なります。
原因
ストレス・疲労や栄養不足、口の中を噛むなど外的刺激による口腔粘膜の損傷、ウイルスや菌、または他の病気の影響など 口内炎の原因は様々です。一般的には口内炎の特徴や原因により、アフタ性口内炎、外傷性口内炎、ヘルペス性口内炎、 カンジダ性口内炎の4つに分類されています。ただし、単なる口内炎と思い、痛くないので放置し、なかなか治らないので来院して、実は腫瘍(悪性)や、全身疾患の一症状だと判明するケースもあります。その場合は組織検査後、確定診断を出し、それによって処置方針を決めます。治りにくい口内炎は来院していただく方が望ましいです。
治療法
市販の口内炎用内服薬などもありますが、⻑期的に続いたり広範囲で口内炎が認められる場合、生活に支障がある場合や、何度も再発を繰り返す時は、早めに受診し適切な治療を受けることをおすすめします。通常は1週間程度で治癒しますが、様々な要因で悪化し、難治性になることも少なくありません。痛みのために食事ができない様な重症時は、レーザーで表層を処置、軟膏、貼付薬などを処方したり、ケースによっては漢方薬を服用していただきます。
予防
口腔内の環境を整え、常に清潔な状態を保つことは、口内炎を予防する上で最も大切なポイントです。口内炎の中で最も多い「アフタ性口内炎」はストレスや疲労により免疫力が低下したり、栄養バランスの乱れ、睡眠時間の不足が発生の原因となることもあるため、栄養バランスがとれた食事を心がけ、免疫力を高めることが大切です。
症例.01
口腔カンジダ症

口腔内全体にヒリヒリとした疼痛がありました。高齢で免疫力低下のために生じた口腔内カンジダ症と診断し、抗真菌薬投与による治療を行いました。
症例.02
黒毛舌

過度の飲酒・喫煙、免疫力低下が誘因となり発症しました。抗菌薬を長期服用されたことによる菌交代現象による黒毛舌と診断し、主に生活指導・舌清掃にて治療を行いました。
症例.03
白板症

白色に見える粘膜疾患。固着している白色に変化した良性腫瘍。一部は前癌病変と言われています。組織検査をし、悪性・良性度合いを組織で確認、必要があれば全摘出ですが、悪性度合いが低ければ経過観察となります。
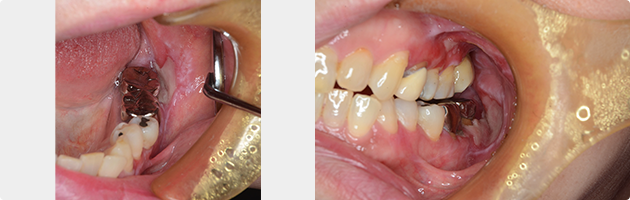
症例.04
扁平苔癬

慢性の炎症性角化病変。明らかな原因は不明です。細菌やストレス、金属アレルギーなどが原因として考えられます。原因、誘発要因を除去し、局所に痛みがあれば消炎処置を行いました。