診療内容
上顎の小臼歯、大臼歯は上顎洞(副鼻腔)に近く、そういった歯が原因で上顎洞炎を起こすことがあります。耳鼻科からの紹介も多く、慢性化した病変が多いため自覚症状がないまま上顎洞全体に炎症が波及しているケースも珍しくありません。
原因
神経を除去した処置(根管処置)後の根尖病巣が原因の感染が非常に多いです。(その他、歯周病等)それが上顎洞内に波及、洞内の換気と排泄機能が失われた状態となり上顎洞炎となリます。
治療法
歯性上顎洞炎の原因である感染源を除去、洞内洗浄し副鼻腔の換気と排泄を確保。治癒困難な場合は、耳鼻咽喉科と協力の下、処置を施行することもあります。
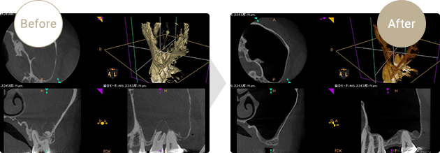
症例.01

上顎第一大臼歯が感染源の歯性上顎洞炎です。歯の根の部分に病巣が認められ、それが上顎洞に波及して不透過像になっています。処置は、原因歯の抜歯、同部から上顎洞内を徹底洗浄、自然孔の交通を確認し、換気と排泄を促しました。創は閉鎖処置をしています。術後6ヶ月後、洞内粘膜はほぼ正常、換気、排泄機能も改善しています。