診療内容
親知らず
親知らずとは、一番奥(前⻭から数えて8番目)に生える永久⻭です。一般的には20歳前後に他の永久⻭より遅れて生えてくるため、10歳前後で生え変わる他の永久⻭と違い、「親が知ることなく生える⻭」であることから親知らずと呼ばれています。親知らずは先天的に生えない人もいたり、⻭のスペースがない場合は横を向いた状態や⻭ぐきに半分被った状態になることも多く、上下左右の4本揃って生えてこないなど、個人差が大きいことも特徴です。
症例.01
親知らずが虫歯や
感染源になっている場合
一番奥に生えてくる親知らずは、中途半端に少しだけ出ている場合があります。ブラッシングが難しく虫歯をつくり、歯肉は腫れ、痛みを伴うことも多いです。この場合は抜歯の適応となります。
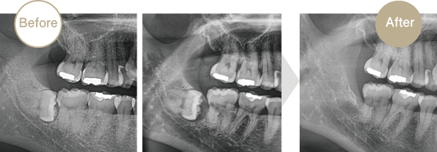
症例.02
親知らずの手前の歯が
虫歯になってしまった場合
横を向いて倒れていることが多い親知らずは、その歯そのものには問題がなくても手前の歯に虫歯を作ってしまうケースがあります。上から見て虫歯がなくても、気づかない間に親知らずと接している部分に虫歯を作ってしまうのです。その疑いがあれば抜歯の適応となります。レントゲンで見つかる事が多いので、定期検診をおすすめします。
症例.03
矯正治療に支障が出る場合
親知らずは10代後半に生え始め、20代前半に根が完成し、成長(萌出)は止まります。この間は上の方向へ出ようとする力が働くわけです。そのころに矯正治療をしていると親知らずの萌出力が邪魔になってくるため、あらかじめ抜歯の適応となります。
親知らずは真っ直ぐに生えているのではなく、斜めや横向きに生えていたり、下顎の骨に埋まっていて通常の抜歯と比較して難易度が高いことがほとんどです。上は副鼻腔(上顎洞)に、下は下歯槽管(神経、動静脈)に近接している事から、リスクの高い処置になることも少なくありませんが、当院では3DCTを撮影し事前の情報を集め、より安全に抜歯を施行しています。
下顎に余裕があれば10代後半に生え始め、20代中頃に根が完成します。したがってその頃までは位置移動はあり得るという事です。
見えていたり、比較的まっすぐ生えている親知らずの抜歯は、上下に関わらずあまり腫れることはありませんが、切開、縫合の必要性がある場合、経過良好でも2~3日は腫れます。上顎の場合、抜歯直後から多少の開口障害が出る場合がありますが、1週間程度で治ります。
通常は局所麻酔単独で1本ずつでの抜歯です。抜歯の難易度、年齢、基礎疾患等考慮して、静脈麻酔、全身麻酔を利用して2本あるいは4本同時に抜歯は可能です。
親知らずが痛いのは次の2つのケースです。一つは「智歯周囲炎」で、親知らずの周囲歯肉、骨に感染が及ぶ場合です。抗菌薬等で消炎を図ればしばらく放置は可能ですが、ほとんど再発します。もう一つは親知らずそのものが虫歯になって歯髄炎になる場合です。この場合は早期に抜歯が適応になります。
抜歯当日は過度にうがいをしないこと。飲酒、入浴、運動は止めてください。水分摂取は積極的に、食事も普段通りとってください。
基本的に安定期であれば、条件付きで可能です。抜歯が、お母さんの食生活など影響が出にくいこと、妊娠中に抜歯をする方がお母さんにとって有益かどうかを判断して行います。
症例.01
埋伏している親知らずの抜歯

親知らずが原因の嚢胞が大きくなってきたため、親知らずと共に嚢胞も摘出。術後は下歯槽神経麻痺も認めず治癒良好でした。
症例.02
彎曲している親知らずの抜歯

親知らずの根が極端に彎曲し、下歯槽菅(下歯槽神経)に近接していました。根の破折なく抜歯を行い合併症も認めませんでした。